智慧机身 呵护临床
  • 超高清显示器 至臻影像
    高分辨率21.5英寸医疗专用显示器
    显示器支臂支持360°调节
  • 灵敏触摸屏 提供高效工作流程
    13.3英寸高清触摸屏 极速响应
    支持-15°— +15°角度调节
  • 科学操作面板 精简设计
    电动升降可旋转操控面板
    简约界面 科学布局
  • 细节呵护 舒适体验
    耦合剂加热槽 关爱加温37℃/40℃
    多达3+1个探头接口 减少了弯腰插拔探头的次数
专业探头群 全临床应用
搭载了更加丰富的探头群,除满足腹部、泌尿系统、浅表器官、妇科、产科、心脏及外周血管等常规领域应用,还可应用于乳腺,婴幼儿,3D/4D检查等特殊场景
  • 腔内探头EC9-4

    适用于经直肠,经阴道检查

  • 高频线阵探头L17-5

    高频率成像,更适用于婴幼儿小器官,血管检测

  • 凸阵探头C5-1

    适用于腹部,妇产,泌尿等

  • 线阵探头L12-4

    适用于浅表组织、小器官,神经,血管等

  • 相控阵探头P5-2

    适用于成人心脏

  • 高频相控阵探头P8-2

    频率高于传统心脏探头,更适用于婴幼儿心脏

  • 微凸探头MC10-3

    频率高于传统凸阵探头,作用面积更小,更适用于婴幼儿腹部

  • 容积探头V6-2

    腹部,胎儿检查

  • 高密线阵探头L13-3

    256阵元数,61.5*23.4成像范围,更适用于乳腺扫查。

先进探头技术
IBS探头技术
I B S
I:Increase Matching Layers,匹配层+,增加匹配层至三层,更好的提升探头的灵敏度和带宽;


B:Bonding Process,邦定加工技术,通过均匀粘接工艺,连接陶瓷和电极的胶层厚度控制在最大1um以内,以改善阵元间的性能一致性;


S:Super Elements,超级阵元,通过超精密加工,一个阵元被分为若干子阵元(最小尺寸为75um)以增加探头的灵敏度和带宽;



以上三种简称IBS探头技术

IBS技术使得探头灵敏度和带宽均提高40%,一致性提升37%,长期稳定性提升42%

AWS 技术平台
  • 微血流技术 Micro Flow

    传统

    微血流成像

    微血流成像技术基于时间,空间和参数信息共同检测血流,可提高对低速血流的灵敏度,有效抑制非血流信号的干扰
  • 新BF技术:16倍波束合成,数据处理速率提高16倍,每次发射可获得16帧图像

    传统

    并行16波束

    并行16波束:
    A.提高帧率从而提高运动组织的检测灵敏度
    B.提高整场分辨率,穿透力和对比度
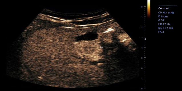
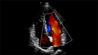
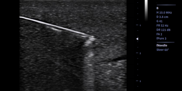
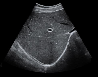
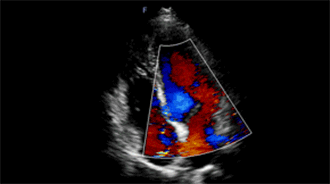
临床图像
有关388vip太阳集团
公司简介
发展历程
企业社会责任
包豪斯理念
新闻
公司新闻
创新产品矩阵
创新负重锥束 CT 系列
创新动态功能悬吊 DR 系列
创新动态断层多功能胃肠 DR 系列
创新移动动态功能 DR 系列
创新DBT三维断层乳腺机
创新移动动态 C 臂系列
用户服务
客户服务
客户关爱
加入我们
社会招聘
校园招聘
成长在388vip太阳集团
联系我们
联系方式
客户留言